Tratamiento de encías: ¿Cuál necesito?

Tipos de tratamientos de encías para recuperar la salud y la estética de tu boca.
Cuidar la salud y la estética de una sonrisa no solo es cosa de los dientes, sino también de las encías.
En este artículo voy a contarte qué tipos de tratamiento de encías, estéticos y de salud, son los más comunes y cómo hacemos en Clínica Dental Dobleese para tratar cada uno de los problemas en las encías.
¿Qué tipos de tratamiento de encías hay?
Un tratamiento de encías puede tener varios objetivos que se engloban principalmente en: abordar un problema de salud o mejorar la estética y apariencia de las encías.
Tratamientos de salud de las encías
Los problemas de salud de las encías más habituales suelen ser las enfermedades periodontales. Aunque también son muy comunes los problemas por encías retraídas (pérdida de encía), que no siempre derivan de una enfermedad como te explico más adelante.
Así que, voy a contarte en qué consisten cada uno y qué tratamientos hay.
Tratamiento de encías para la gingivitis
La gingivitis es una forma de enfermedad periodontal. Y muy común de hecho. Uno de cada dos adultos mayores de 35 años tiene síntomas de inflamación gingival que puede producir sangrado (gingivitis).
La gingivitis puede tener varias causas, pero la más común es un mal control de la higiene y la consiguiente acumulación de bacterias y de sarro que inflama las encías y que por tanto, provoca la aparición de sangrado.
Pero tiene un punto positivo y es que es curable. Es decir, se puede limpiar ese sarro que contiene bacterias y por tanto, volver a tener un estado de salud oral adecuado. Y este punto es justo lo que diferencia la gingivitis de la periodontitis, la cual es irreversible y una enfermedad crónica.

Tratamiento de encías para solucionar la gingivitis en Clínica Dental Dobleese
El tratamiento de encías para la gingivitis consiste en retirar el sarro que queda por encima y por debajo de la encía.
El sarro supragingival o que queda por encima de la encía es el que vemos normalmente al mirarnos con un espejo los dientes.
Podemos retirar este tipo de sarro mediante una profilaxis, o detartraje o tartrectomía. Todas estas palabras significan lo mismo y son lo que comúnmente se llama limpieza.
Por otro lado, para retirar las bacterias que se encuentran debajo de la encía se realiza un tratamiento que se denomina raspado y alisado radicular.
Con eso conseguimos retirar las bacterias y el sarro que evitan que la encía se pegue al diente de la manera en que debe hacerlo.
En definitiva, la gingivitis es fácil de curar solamente con un par de sesiones desinflamatorias.
Consulta nuestro artículo si quieres conocer más sobre cómo curar la gingivitis.
Tratamiento de encías para la periodontitis
La periodontitis o piorrea es una enfermedad periodontal que se puede originar por muchos factores y cursa con la pérdida de los tejidos que sostienen al diente.
Si no se trata a tiempo, puede acabar con la pérdida del diente por un exceso de movilidad.
Tiene aspectos que pueden engañar como la ausencia de dolor o de sangrado en fumadores, y al ser asintomática muchos pacientes no saben que la tienen.
Al ser crónica (para toda la vida) como una diabetes o un colesterol alto, es necesario tenerla controlada con mantenimientos periodontales periódicos que procuren unos niveles de bacterias bajos.
Y se ve agravada por hábitos nocivos como el tabaco o un mal control de la higiene.

Tratamiento de encías basado en una limpieza profunda para eliminar el sarro y las bacterias en Clínica Dental Dobleese
En cuanto a las soluciones y tratamiento para la periodontitis, se comienza con un tratamiento inicial que consiste en una fase desinflamatoria mediante raspado y alisado radicular. Y si no es suficiente, como ya hemos hecho en Clínica Dobleese en muchas ocasiones, se pueden incluso realizar cirugías periodontales para conseguir reducir los niveles de inflamación y sangrado.
Tratamiento de encías retraídas
Las encías retraídas son otro de los problemas de encías que más preocupan a los pacientes.
Como ya comentábamos en un artículo anterior sobre “encías retraídas: a qué se debe la retracción de encías y tratamientos para solucionarlo”, las encías retraídas no siempre tienen su origen en una enfermedad como la periodontitis.
Suelen darse también en pacientes que se cepillan los dientes muy fuerte, que tienen un piercing en la boca, o incluso, que han tenido ortodoncia y esta ha hecho que se le retraigan las encías en algunos dientes.

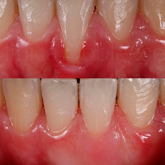
Resultado del tratamiento de encías retraídas mediante cirugía plástica mucogingival en Clínica Dental Dobleese
Para el tratamiento de encías retraídas se utilizan técnicas no quirúrgicas como la desinfección de bacterias y en otros casos, también se recurre a la cirugía de encías como es la cirugía plástica mucogingival.
Esta última técnica consiste en un injerto de encía, tomando una parte de encía del paladar y colocándola en la zona de la retracción. En ocasiones, esto se hace por estética más que por salud.
Consulta más información sobre el tratamiento de injerto de encía en Sevilla.
Tratamientos de encías estéticos
Los dientes no son el único factor que hacen que una sonrisa sea bonita. También las encías hacen que una sonrisa se vea mejor o peor.
Y por este motivo, existen tratamientos de encías como los siguientes, pensados para la estética.
Blanqueamiento láser de encías
Hay quienes tienen las encías oscuras, pero esto no tiene por qué significar un problema de salud.
Las encías oscuras tienen solución mediante un blanqueamiento láser de encías, como desarrollamos más detenidamente en nuestro artículo sobre encías negras: causas y tratamientos.
Es un tratamiento estético muy sencillo y rápido de hacer. En solo una sesión podemos cambiar el color de la encía, que suele resultar muy oscura en pacientes que son muy morenos y en pacientes fumadores.

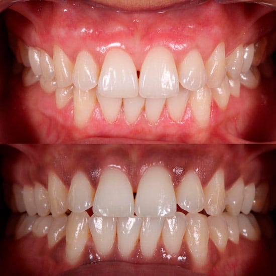
Resultado del tratamiento de encías oscuras en Clínica Dental Dobleese
El tratamiento de encías basado en un blanqueamiento láser consiste en remover la parte superficial de la encía que tiene más cantidad de melanina y que da ese aspecto oscuro que resta luz a la sonrisa.
En Clínica Dental Dobleese, usamos un láser de Erbio que permite ser conservador con los tejidos y se evitan las molestias postoperatorias, de manera que los pacientes a las 24h pueden mantener una vida normal.
Remodelado de la encía
El remodelado de la encía o gingivectomía en Sevilla es otro de los tratamientos de encías que solemos hacer en Dobleese para sacar a la sonrisa todo el partido.
Muchas veces pensamos que nuestros dientes son cortos o con forma cuadrada, cuando en realidad están cubiertos por una capa de encía que no va en proporción a la que deberíamos tener. Al sonreír se enseña mucha encía y poco diente.

Resultado en los días posteriores al remodelado de la encía en Clínica Dental Dobleese
Tan simple como hacer un remodelado de la encía o alargamiento coronario, recortando el sobrante y dejando el verdadero tamaño de nuestros dientes expuestos, conseguimos resultados increíbles. Esta técnica también se conoce como recorte de encías es habitual para la corrección de sonrisa gingival.
Muy propio en pacientes que han llevado ortodoncia o que tienen un exceso de encía por uso de medicamentos que producen una hiperplasia gingival.
Para conocer en profundidad cómo corregir el exceso de encías con un tratamiento de gingivectomía, puedes visitar nuestro artículo sobre: qué es gingivectomía y cómo es el procedimiento.
Espero que estas líneas te hayan servido para tener una orientación de los tipos de tratamientos para la salud y la estética de las encías más comunes que existen. Recuerda que cada caso es diferente, por lo que te recomendamos que visites un dentista de confianza para que planifique el tratamiento de encías que necesitas.
En Dobleese realizamos todos estos tratamientos de encías en Sevilla, desde nuestra clínica entre Triana y Los Remedios. De modo que si necesitas una solución para tus encías, ya sea de salud oral o un tratamiento estético, puedes solicitar tu primera visita gratuita.

Rafael Martínez Sáez
Dirección médica y Especialista en Periodoncia e Implantes dentales en Dobleese
Licenciado en Odontología, con amplia formación en Periodoncia, Implantes y Odontología Estética. Máster en Periodoncia e Implantes (Universidad de Oviedo) y profesor colaborador en la Facultad de Odontología de la misma universidad. Miembro de la Sociedad Española de Periodoncia y de la European Association for Osseointegration. N.º de colegiado: 41002468
Estos artículos quizás te ayuden a despejar otras dudas




