Caso real
«Confío en Dobleese de toda la vida»
EMBAR
Dobleese > Dientes Antes Después > Embar
El antes y después


Historia
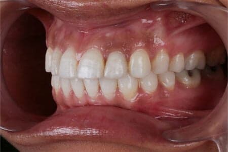
La historia de Embar
Embar lleva con nosotros toda la vida.
Desde muy pequeña han confiado en nosotros para tratar la malposición que tenía y la ausencia de los dientes vecinos a los incisivos centrales superiores que simplemente no le habían salido.
Con el tratamiento de ortodoncia corregimos posición y abrimos huecos para poder colocar implantes. Tras reponer la piezas perdidas con implantes dentales y dientes en el día de la cirugía realizamos blanqueamiento zoom para finalizar su caso.
Algunos casos de pacientes que han mejorado su salud y estética dental
Información acerca de nuestros casos reales
- Todos los casos expuestos han sido realizados en Clínica Dental Dobleese y por su equipo.
- Todas las imágenes y vídeos de los casos expuestos pertenecen en exclusiva a Clínica Dental Dobleese.
- No se permite su distribución sin el consentimiento expreso de Clínica Dental Dobleese.
- Cada caso cuenta con la autorización y consentimiento de publicación de su caso.










