Caso real
«No tengo palabras para definir lo que ha sido todo esto para mí»
VICTORIA
Dobleese > Dientes Antes Después > Victoria
Tratamiento
- Ortodoncia
- Alargamientos coronarios
- Implantes dentales
- Carillas de porcelana
El antes y después


Historia
La historia de Gema
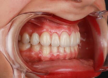
Victoria confió en nosotros para mejorar su sonrisa.
Pudo ver su resultado antes incluso del tratamiento gracias el estudio y diseño digital de la sonrisa que realizamos.
Así ha sido su resultado después de un tratamiento multidisciplinar que ha incluido ortodoncia, alargamientos coronarios, implantes dentales y carillas de porcelana.
¡Un privilegio contar con pacientes como Victoria!
Algunos casos de pacientes que han mejorado su salud y estética dental
Información acerca de nuestros casos reales
- Todos los casos expuestos han sido realizados en Clínica Dental Dobleese y por su equipo.
- Todas las imágenes y vídeos de los casos expuestos pertenecen en exclusiva a Clínica Dental Dobleese.
- No se permite su distribución sin el consentimiento expreso de Clínica Dental Dobleese.
- Cada caso cuenta con la autorización y consentimiento de publicación de su caso.











