Caso real
«Tenía infección e implantes en mal estado. Fue un cambio total.»
PABLO
Dobleese > Dientes Antes Después > Pablo
El antes y después


Historia
La historia de Pablo
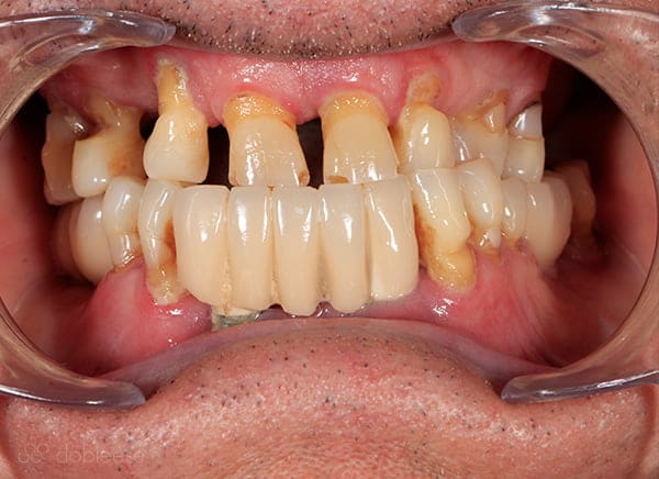
Este es el caso de Pablo, que llegó a nuestra clínica con infección e implantes en mal estado.
En el mismo día, le realizamos una rehabilitación oral total. Retiramos los implantes en mal estado y colocamos los nuevos, saneando todos los tejidos. En una sola sesión, le colocamos la nueva prótesis fija provisional totalmente funcional.
Cuando los tejidos curaron y maduraron, sustituimos la prótesis provisional por la prótesis definitiva de alta estética, que simulaba a la perfección unos dientes naturales.
Como especialistas en implantología, siempre recomendamos a los pacientes que si se van a someter a un tratamiento de implantes, lo hagan con especialistas en el área para evitar futuros problemas o malas experiencias. Si necesitas que valoremos tu caso, contacta con nosotros. Estamos a tu disposición..
Algunos casos de pacientes que han mejorado su salud y estética dental
Información acerca de nuestros casos reales
- Todos los casos expuestos han sido realizados en Clínica Dental Dobleese y por su equipo.
- Todas las imágenes y vídeos de los casos expuestos pertenecen en exclusiva a Clínica Dental Dobleese.
- No se permite su distribución sin el consentimiento expreso de Clínica Dental Dobleese.
- Cada caso cuenta con la autorización y consentimiento de publicación de su caso.










