Caso real
«Tenía problemas de bruxismo y no me gustaba el color de mis dientes»
MÓNICA
Dobleese > Dientes Antes Después > Mónica
El antes y después


Historia
La historia de Mónica
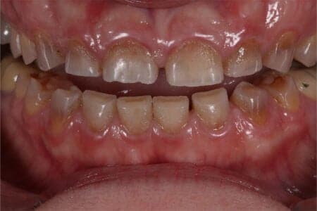
Mónica es un caso de desgastes muy severo y dientes con tinciones por haber tomado antibióticos con tetraciclina cuando era pequeña.
Se ha reestablecido el tamaño perdido de los dientes por los desgastes con incrustaciones y en la parte exterior del diente se han puesto carillas de porcelana.
Mónica es una paciente estupenda que aun teniendo mucho miedo era consciente de sus problemas de bruxismo (apretar los dientes) y desgastes. Además no le gustaba el color de sus dientes tan oscuros. De manera que reestablecimos la estética y la función masticatoria con incrustaciones de cerámica y carillas de porcelana.
Para evitar las fracturas y desgastes de nuevo, Mónica usa de manera continuada una férula de descarga.
Algunos casos de pacientes que han mejorado su salud y estética dental
Información acerca de nuestros casos reales
- Todos los casos expuestos han sido realizados en Clínica Dental Dobleese y por su equipo.
- Todas las imágenes y vídeos de los casos expuestos pertenecen en exclusiva a Clínica Dental Dobleese.
- No se permite su distribución sin el consentimiento expreso de Clínica Dental Dobleese.
- Cada caso cuenta con la autorización y consentimiento de publicación de su caso.









