Caso real
«Quería lucir la mejor sonrisa para el día de mi boda»
MARTA
Dobleese > Dientes Antes Después > Marta
El antes y después


Historia
La historia de Marta
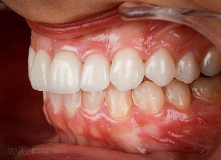
Marta acudió a Dobleese porque quería lucir la mejor sonrisa el día de su boda. En otras clínicas se había realizado diferentes reconstrucciones estéticas con empastes y buscaba una solución definitiva.
Después de ver los casos de éxito de nuestra web, decidió realizarse un tratamiento estético de carillas.
Le realizamos un estudio personalizado y pusimos en marcha un Diseño Digital de la Sonrisa (DSD) para planificar su cambio.
Gracias al Diseño Digital de la Sonrisa, Marta pudo ver una simulación de cómo sería su resultado final antes de comenzar el tratamiento. Seguidamente, hicimos un plan de tratamiento y mejoramos su sonrisa con carillas de porcelana, con un resultado bonito y natural.
Algunos casos de pacientes que han mejorado su salud y estética dental
Información acerca de nuestros casos reales
- Todos los casos expuestos han sido realizados en Clínica Dental Dobleese y por su equipo.
- Todas las imágenes y vídeos de los casos expuestos pertenecen en exclusiva a Clínica Dental Dobleese.
- No se permite su distribución sin el consentimiento expreso de Clínica Dental Dobleese.
- Cada caso cuenta con la autorización y consentimiento de publicación de su caso.












