Caso real
«Estoy feliz. Me siento más guapa que nunca.»
LUZ
Dobleese > Dientes Antes Después > Luz
Tratamiento
- Profilaxis desinflamatoria
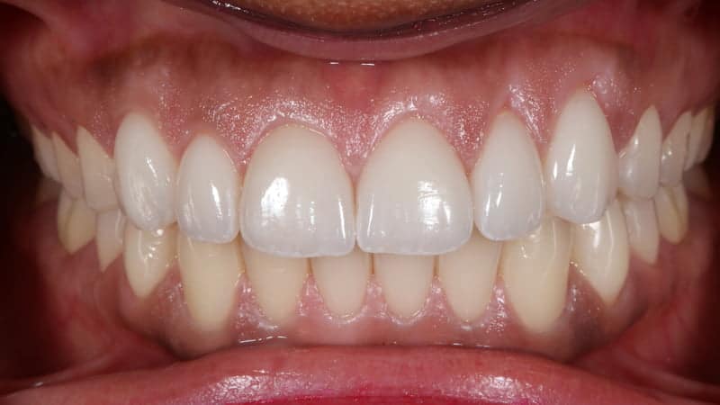
 - Carillas de porcelana en los dientes de arriba
 - Blanqueamiento Zoom en el resto de dientes
 
El antes y después


Historia
La historia de Luz
Luz lleva carillas de porcelana en la arcada superior solo de colmillo a colmillo y blanqueamiento zoom en el resto de dientes.
Se casaba en unos meses y quería mejorar su sonrisa. Así que comenzó a buscar información en Internet sobre carillas de porcelana en Sevilla hasta que llegó a la web de Clínica Dobleese y nos conoció. Estuvo viendo el currículo de los doctores, las fotos del antes y después y las reseñas de otros pacientes. Lo que le hizo decidirse a conocernos en persona y hacer una primera visita.
En la primera visita despejamos todas sus dudas y estuvimos viendo algunos casos de otros pacientes que eran similar al suyo.
A Luz le preocupaba sobre todo la naturalidad y que no se sintiese rara ni diferente con el tratamiento estético. Además, le preocupaba mucho más el hecho de tener que limarse los dientes en exceso para colocarse las carillas, cosa que no ocurrió. Pues por un lado, sus carillas eran de porcelana ultrafinas y por otro, trabajamos con microscopio, con lo que conseguimos limar el diente lo mínimo.
Luz estaba encantada con que el plazo de su tratamiento completo fuera tan corto. Además, ella pensaba que el tratamiento sería mas caro de lo que finalmente fue todo.
Ahora, dice que está feliz con su nueva sonrisa y se siente más guapa que nunca.
Algunos casos de pacientes que han mejorado su salud y estética dental
Información acerca de nuestros casos reales
- Todos los casos expuestos han sido realizados en Clínica Dental Dobleese y por su equipo.
 - Todas las imágenes y vídeos de los casos expuestos pertenecen en exclusiva a Clínica Dental Dobleese.
 - No se permite su distribución sin el consentimiento expreso de Clínica Dental Dobleese.
 - Cada caso cuenta con la autorización y consentimiento de publicación de su caso.
 











