Caso real
«Me casaba en dos semanas y necesitaba una solución»
LAIA
Dobleese > Dientes Antes Después > Laia
El antes y después


Historia
La historia de Laia
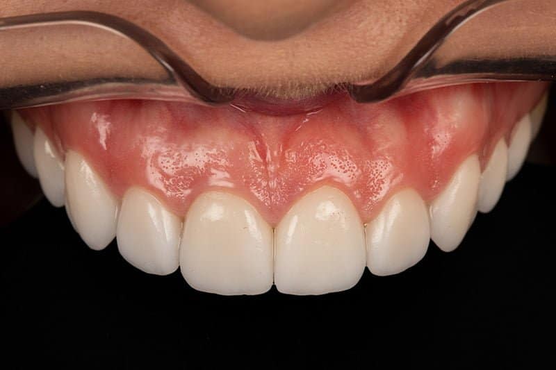
Laia vino en agosto a la clínica, dos semanas antes de casarse, llorando. Le habían colocado al terminar el tratamiento de ortodoncia unas carillas de porcelana las cuales se le caían constantemente, eran poco naturales y estaban mal ajustadas.
Este era el aspecto de sus carillas antiguas.
Algunos casos de pacientes que han mejorado su salud y estética dental
Información acerca de nuestros casos reales
- Todos los casos expuestos han sido realizados en Clínica Dental Dobleese y por su equipo.
- Todas las imágenes y vídeos de los casos expuestos pertenecen en exclusiva a Clínica Dental Dobleese.
- No se permite su distribución sin el consentimiento expreso de Clínica Dental Dobleese.
- Cada caso cuenta con la autorización y consentimiento de publicación de su caso.











