Caso real
«Si llego a saber que esto iba a ir así de bien, me lo hubiese hecho mucho antes»
JUAN RAMÓN
Dobleese > Dientes Antes Después > Juan Ramón
Tratamiento
- Periodoncia
- Implantes dentales en un día en toda la boca
- Sedación consciente
El antes y después


Historia
La historia de Juan Ramón
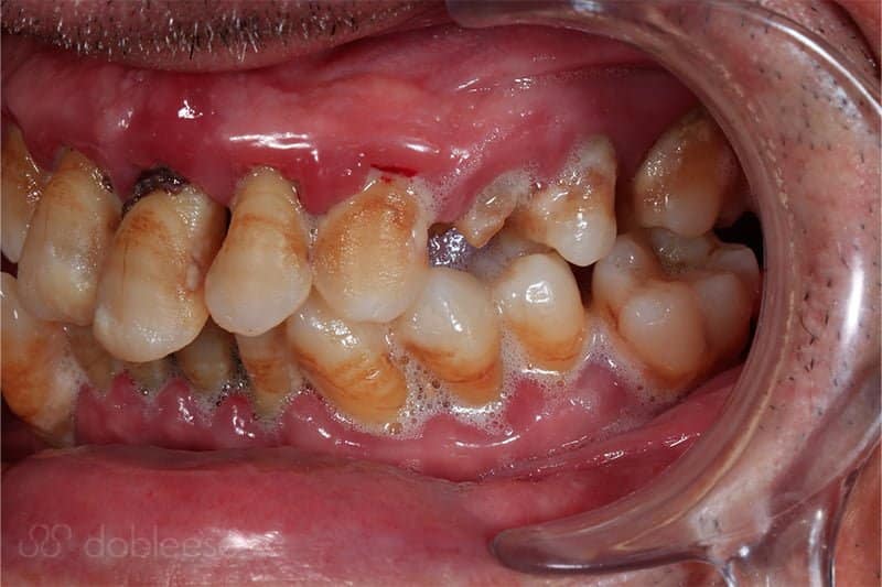
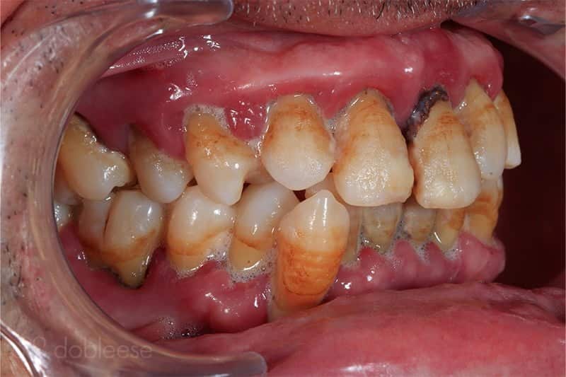
Juan Ramón llegó a nuestra clínica tras recibir la recomendación de un familiar, al que le hicimos un tratamiento muy parecido. Llegó a Dobleese con tanta movilidad en las piezas dentales, que no podía comer con normalidad porque sufría el riesgo de perderlas al masticar alimentos duros.
Al estudiar su caso, observamos que tenía una enfermedad periodontal muy agravada con gran pérdida de hueso alrededor de los dientes, motivo por el cual se le movían tanto. Por ello, concluimos que no podíamos mantener ninguna de las piezas dentales, ya que todas estaban en mal estado, con infección y con una pérdida de soporte imposible de recuperar.
Le propusimos comenzar con nuestro protocolo de implantes y dientes en el día, mediante microcirugía. Este proceso consiste en sanear toda la boca disminuyendo, lo máximo posible, la presencia de bacterias, para alcanzar posteriormente una adecuada desinflamación de los tejidos.
Una vez desinflamados, en el mismo día, y con sedación consciente supervisada por un anestesista, se reemplazaron todos los dientes por seis implantes en la parte superior y seis implantes en la zona inferior. Además, los espacios vacíos se rellenaron con un biomaterial y plasma rico en plaquetas. Tras la cirugía, y en el mismo día, gracias a nuestros protocolos de odontología digital, se le colocaron sus nuevos dientes fijos atornillados a los implantes.
Tras un periodo de curación de aproximadamente 2 meses, le colocamos la prótesis definitiva. Ahora Juan Ramón disfruta de su nueva sonrisa saludable, duradera, natural y con la que puede comer todo tipo de alimentos.
Algunos casos de pacientes que han mejorado su salud y estética dental
Información acerca de nuestros casos reales
- Todos los casos expuestos han sido realizados en Clínica Dental Dobleese y por su equipo.
- Todas las imágenes y vídeos de los casos expuestos pertenecen en exclusiva a Clínica Dental Dobleese.
- No se permite su distribución sin el consentimiento expreso de Clínica Dental Dobleese.
- Cada caso cuenta con la autorización y consentimiento de publicación de su caso.










