Caso real
«Ahora sí tengo la sonrisa que quería»
GEMA
Dobleese > Dientes Antes Después > Gema
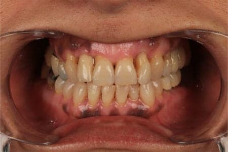
Tratamiento
- Tratamiento de encías para controlar la enfermedad periodontal
- Extracción de piezas en mal estado
- Colocación de implantes y dientes en el día
- Tratamiento estético con carillas
- Blanqueamiento zoom
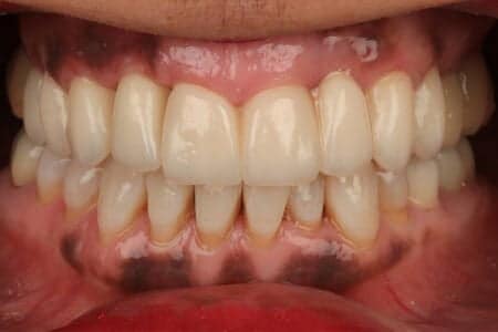
El antes y después


Historia
La historia de Gema
Embar lleva con nosotros toda la vida.
Gema quería por fín mejorar su sonrisa, tras diagnosticarle unos problemas de encía y poner la boca en salud, colocamos implantes dentales y carillas de porcelana para conseguir mejorar la sonrisa que ahora sí, esta como ella quería.
Algunos casos de pacientes que han mejorado su salud y estética dental
Información acerca de nuestros casos reales
- Todos los casos expuestos han sido realizados en Clínica Dental Dobleese y por su equipo.
- Todas las imágenes y vídeos de los casos expuestos pertenecen en exclusiva a Clínica Dental Dobleese.
- No se permite su distribución sin el consentimiento expreso de Clínica Dental Dobleese.
- Cada caso cuenta con la autorización y consentimiento de publicación de su caso.











