Caso real
«Después de varios intentos en otras clínicas, ahora tengo la sonrisa que quería»
CONCEPCIÓN
Dobleese > Dientes Antes Después > Concepción
El antes y después


Historia
La historia de Concepción
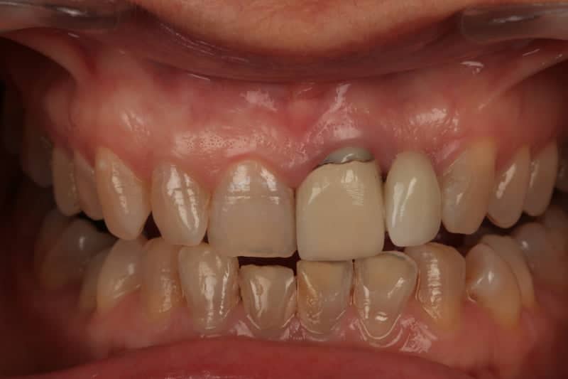
A Concepción le preocupaba mucho su estética. Se había realizado previamente varios intentos de mejorar la estética en otras clínicas pero nunca había conseguido el resultado estético que ella quería.
Tras buscar en Internet, nos encontró y decidió realizar su tratamiento estético con nosotros.
Para mejorar su sonrisa le hicimos una cirugía mucogingival de aumento de encía para ganar volumen donde le faltaba un diente. Tras la cirugía le colocamos carillas de porcelana para conseguir uniformidad y una sonrisa luminosa y natural.
Algunos casos de pacientes que han mejorado su salud y estética dental
Información acerca de nuestros casos reales
- Todos los casos expuestos han sido realizados en Clínica Dental Dobleese y por su equipo.
- Todas las imágenes y vídeos de los casos expuestos pertenecen en exclusiva a Clínica Dental Dobleese.
- No se permite su distribución sin el consentimiento expreso de Clínica Dental Dobleese.
- Cada caso cuenta con la autorización y consentimiento de publicación de su caso.











