Caso real
«Para mí ha supuesto un cambio en todos los aspectos»
ISABEL
Dobleese > Dientes Antes Después > Isabel
El antes y después


Historia
La historia de Isabel
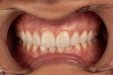
Isabel se ha realizado un tratamiento con carillas de porcelana y blanqueamiento zoom.
Desde el primer momento, Isabel sabía que quería ponerse carillas de porcelana para cubrir sus espacios.
Tras estudiar su caso, decidimos dar más protagonismo a su sonrisa con carillas de porcelana a medida para conseguir mejorar la estética con un cambio muy bonito.
Las carillas son muy naturales y para ella, el cambio estético en su sonrisa ha significado un cambio total en todos los aspectos.
Algunos casos de pacientes que han mejorado su salud y estética dental
Información acerca de nuestros casos reales
- Todos los casos expuestos han sido realizados en Clínica Dental Dobleese y por su equipo.
- Todas las imágenes y vídeos de los casos expuestos pertenecen en exclusiva a Clínica Dental Dobleese.
- No se permite su distribución sin el consentimiento expreso de Clínica Dental Dobleese.
- Cada caso cuenta con la autorización y consentimiento de publicación de su caso.











